Redobândește zâmbetul
și funcția completă
Reabilitarea All-on-X îți redă capacitatea de a mânca, a vorbi și a zâmbi cu încredere — cu o lucrare fixă, estetică și durabilă, planificată digital de la primul consult.
Problemele pe care le rezolvă All-on-X
Mii de oameni trăiesc zi de zi cu aceste disconforturi, fără să știe că există o soluție definitivă.
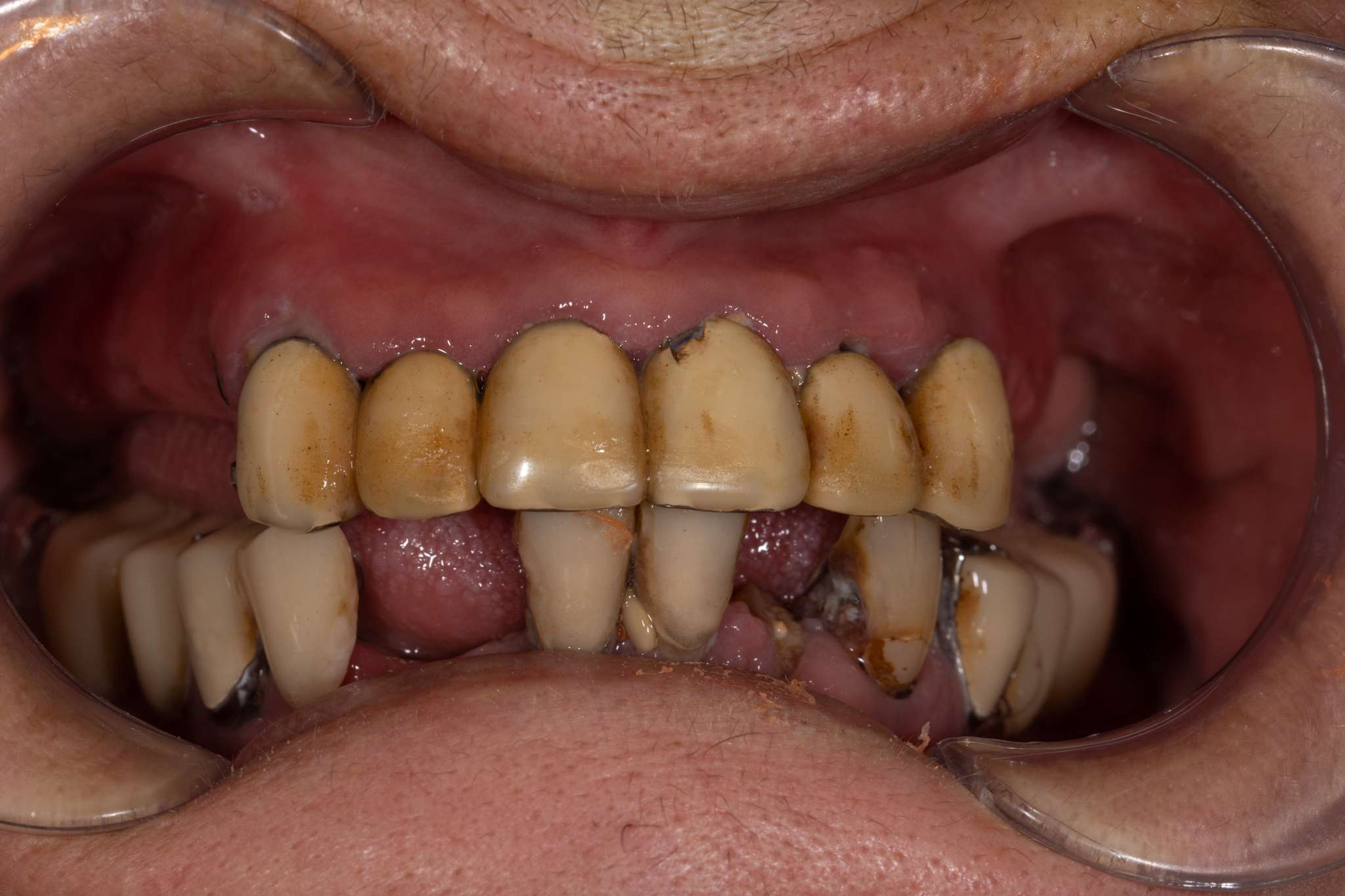
Dinți lipsă sau extracții multiple
Edentație totală sau parțială care afectează masticația, vorbirea și aspectul estetic.
Proteză mobilă incomodă
Proteza mobilă se mișcă, creează disconfort și te împiedică să mănânci și să vorbești natural.
Parodontoză avansată
Dinți cu mobilitate crescută care nu mai pot fi salvați și care necesită o soluție de înlocuire completă.
Pierderea încrederii în zâmbet
Eviți să zâmbești în fotografii sau în public din cauza aspectului dinților tăi.
O soluție fixă,
nu o proteză mobilă
Reabilitarea All-on-X este procedura prin care refacem întreaga arcadă dentară folosind doar 4–6 implanturi poziționate strategic în os. Rezultatul: o lucrare protetică fixă, stabilă și estetică — nu o proteză mobilă.
Spre deosebire de implanturile individuale, All-on-X permite reabilitarea completă a întregii arcade cu mai puține implanturi, cu costuri mai mici și un timp de recuperare redus.
La Sikario Dental, fiecare caz All-on-X este planificat digital în 3D înainte de orice intervenție — inclusiv cu o simulare Smilecloud care îți arată rezultatul final înainte să începem tratamentul.
Ce include tratamentul
- Consultație inițială și evaluare radiologică 3D (CBCT)
- Planificare digitală completă cu simulare Smilecloud
- Inserarea a 4–6 implanturi sub anestezie locală
- Proteză provizorie fixă imediat după intervenție
- Lucrare definitivă din zirconiu sau ceramică
- Monitorizare și suport post-tratament
Ce ne diferențiază
de alte clinici din regiune
Nu promitem pur și simplu calitate — o demonstrăm prin tehnologie, transparență și rezultate reale.
Simulare Smilecloud înainte de tratament
Îți arătăm cum vei arăta după tratament — înainte să înceapă orice procedură. Iei decizia cu ochii deschiși.
Planmeca CBCT & radiologie 3D proprie
Planmeca SmartPan™, Ultra Low Dose™ CBCT și scanare intraorală digitală — planificare chirurgicală de precizie cu ghiduri 3D imprimate pentru fiecare caz.
Echipă dedicată + laborator specialist
Chirurg implantolog + specialist protetică sub același acoperiș, colaborând cu laboratoare specializate în protocol digital 3D de planificare și execuție.
Fotografii și documentare completă a cazului
Studio foto profesional propriu. Fiecare caz este documentat înainte, în timpul și după tratament.
Transparență totală a costurilor
Primești un plan de tratament detaliat cu costurile exacte înainte de a lua orice decizie.
Rating Google 5 stele
7 ani de îngrijire pentru pacienți din Baia Mare și zona Maramureș. Rezultatele vorbesc de la sine.
Procesul tău,
pas cu pas
Știm că necunoașterea procedurii este unul dintre cele mai mari obstacole. Iată exact ce se întâmplă de la primul contact până la zâmbetul final.
Consultație inițială și evaluare
Discutăm situația ta, facem o evaluare clinică și radiologică. Ieși din cabinet cu o imagine clară asupra soluției potrivite și a costurilor estimate — fără presiune.
Planificare digitală 3D și simulare
Folosim scanarea 3D și Smilecloud pentru a planifica fiecare implant cu precizie milimetrică. Îți arătăm rezultatul final înainte de orice intervenție.
Intervenția chirurgicală
Inserarea implanturilor sub anestezie locală, cu ajutorul ghidurilor chirurgicale 3D. Procedura este previzibilă, controlată și confortabilă.
Proteză provizorie fixă
Pleci din clinică cu dinți ficși, nu cu o proteză mobilă. Perioada de vindecare decurge în condiții normale, cu suport complet din partea echipei.
Lucrarea definitivă și zâmbetul final
După vindecare, montăm lucrarea definitivă din zirconiu sau ceramică — estetică, durabilă și funcțională pe termen lung.
Ce spun cei care
au ales Sikario
„Mi-a fost foarte frică pentru că văzusem oameni cu fața umflată și cu dureri mari în urma implantării dinților în alte părți. Pot să spun că nu m-a durut absolut nimic, nu mi s-a umflat nici fața nici locul implantului. Fetele s-au comportat exemplar și mi-au explicat fiecare pas al procedurii.”
„În urmă cu ani de zile am deprins o frică de a merge la dentist… Datorită Sikario pot să vă garantez că nu-mi mai este frică de nimica ce este legat de dentist. Dovada este că acum am ajuns la implanturi, la extracții dar și aproape orice operațiune fără nicio frică și durere 10% față de cât mă așteptam.”
„A fost vorba de implanturi dentare, reconstrucție osoasă, tratamente de canal, înlocuirea unor lucrări dentare — serviciile au fost impecabile la fiecare vizită. Acum fac doar vizitele anuale și mă bucur de o dantură fără probleme, în special datorită dnei dr. Carmen Breban Cirțiu și oamenilor alături de care face o treabă minunată.”
Știm că nu e
o decizie ușoară
Poate amâni de ani de zile. Poate te-ai obișnuit să eviți anumite mâncăruri, să zâmbești mai puțin, să treci mai repede peste asta în conversații. Poate cel mai mare obstacol nu e costul sau procedura în sine — ci pur și simplu că nu știi la ce să te aștepți.
Frica de durere. Întrebarea dacă vei fi un candidat bun. Îngrijorarea că e prea târziu sau că osul nu mai e suficient. Suma mare de bani pentru ceva ce nu ai mai făcut niciodată.
Toate acestea sunt reale și le înțelegem.
De aceea consultația inițială la Sikario nu e o prezentare de vânzări. E o discuție — cu Carmen și Oana — în care afli exact care e situația ta, ce implică procedura în cazul tău specific și care sunt costurile reale. Fără presiune. Fără angajamente.
Înainte și după
Toți pacienții prezentați sunt tratați la Sikario Dental și au consimțit publicarea imaginilor.


Mai multe cazuri în curând
Documentăm continuu cazurile tratate la Sikario Dental. Revino pentru rezultate noi sau contactează-ne direct pentru a discuta situația ta.
Solicită consultațieCazul tău, tratat de
doi specialiști dedicați
Nu un singur medic care face totul — ci două specialiste care colaborează strâns pentru planificare, chirurgie și rezultatul estetic final.
Specialist în chirurgie dento-alveolară și implantologie avansată, Dr. Oana realizează intervențiile All-on-X cu precizie milimetrică, folosind ghiduri chirurgicale 3D și protocoale internaționale.
- Medic specialist chirurgie dento-alveolară — UMF Cluj-Napoca, 2023
- Membru International Team of Implantology (ITI) — 2023
- Straumann Pro Arch Masterclass — live surgery training
- Training avansat în Coreea de Sud cu Dr. Kwang Bum Park
- Fresh Human Cadaver Course — Dr. Horia Barbu, Dr. Ophir Fromovich
- Premiul I — MEGAMIND MINEC, powered by MegaGen 2023
Fondatoarea Sikario Dental și fața în care mii de pacienți din Maramureș și-au pus încrederea. Dr. Carmen coordonează planificarea digitală completă a fiecărui caz All-on-X și asigură rezultatul estetic final al lucrării protetice.
- Fondatoarea Sikario Dental — 7 ani de practică în Baia Mare
- Specializare protetică și planificare digitală Smilecloud
- Coordonare multidisciplinară a cazurilor complexe
- Formare continuă prin congrese și cursuri internaționale
- Rating Google 5 stele — recunoscută de pacienți prin nume
Răspundem sincer
la cele mai comune întrebări
Fă primul pas
spre zâmbetul tău
Trimite-ne un mesaj pe WhatsApp sau sună-ne direct. Echipa noastră îți răspunde rapid și fără obligații.
Str. Ștefan Luchian nr. 10A, Baia Mare · L, Mi, V: 09:00–16:00 · Ma, Jo: 12:00–19:00






