Str. Ștefan Luchian nr. 10A, Baia Mare
Luni, Miercuri, Vineri: 09:00 – 16:00
Marți, joi: 12:00 – 19:00
Full mouth rehab – case 1
COORDONATOR
- Dr. Carmen Breban-Cirțiu
SPECIALIST
- Dr. Anca Varlan – orthodontics
- Dr. Darius Tomina – surgery
- Dr. Carmen Breban-Cirțiu – protetică
LAB WORK
TREATMENT
- Orthodontics
- Implant
- Ceramic veneers
- Onlay
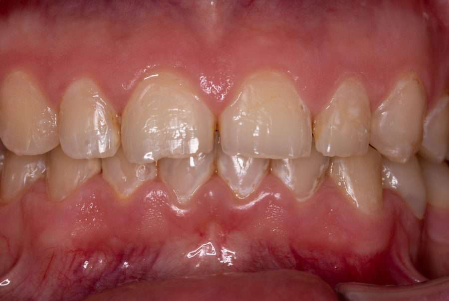
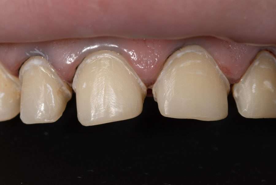
Case description
Very often, the occlusion, the position of the teeth and their volume, the function and aesthetics of the teeth, which further affect the function and health of the facial and masticatory muscles and the TMJ, must be reconsidered. Orthodontic retreatment and subsequent prosthetic and surgical treatment were performed.
We opted for a complex full mouth treatment with veneers and onlays due to the dental appearance and enamel loss, the incipient caries and the patient’s increased carioreceptiveness, the tooth color. The missing teeth were replaced with dental implants and individual ceramic crowns on a zirconium support.







