Str. Ștefan Luchian nr. 10A, Baia Mare
Luni, Miercuri, Vineri: 09:00 – 16:00
Marți, joi: 12:00 – 19:00
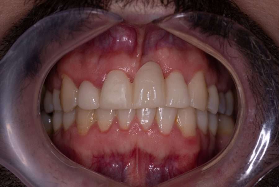
Lost central incisor
COORDiNATOR
- Dr. Carmen Breban-Cirțiu
SPECIALIST
- Dr. Anca Vârlan – Orthodontics
- Dr. Darius Tomina – surgery/implant
- Dr. Carmen Breban-Cirțiu – Prosthodontics
LAB WORK
Gident
TRATAMENT
- Orthodontic treatment
- Extraction with socket preservation
- Fixed prosthetics with tooth support
Case description
We created a dental bridge and a full ceramic veneer to restore the entire incisor group, achieving symmetry and harmony from all perspectives. Since there is no visible exposure in the smile, the gingival margin line and its modifications are not aesthetically disruptive.
We chose an exclusively prosthetic approach in this case of replacing a previously lost central incisor, with a history of trauma, multiple endodontic retreatments, significant mobility and substantial bone tissue loss.







