Str. Ștefan Luchian nr. 10A, Baia Mare
Luni, Miercuri, Vineri: 09:00 – 16:00
Marți, joi: 12:00 – 19:00
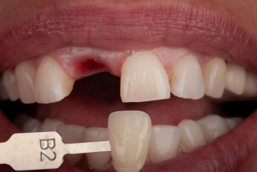
Single frontal implant
COORDONATOR
- Dr. Carmen Breban-Cirțiu
SPECIALIST
- Dr. Oana Hosu – chirurgie
- Dr. Carmen Breban-Cirțiu – protetică
LAB WORK
TREATMENT
- Extraction with bone preservation/reconstruction
- Implant-supported prosthetics
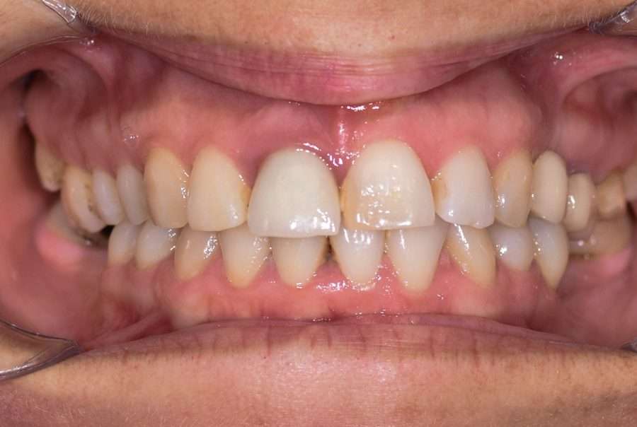
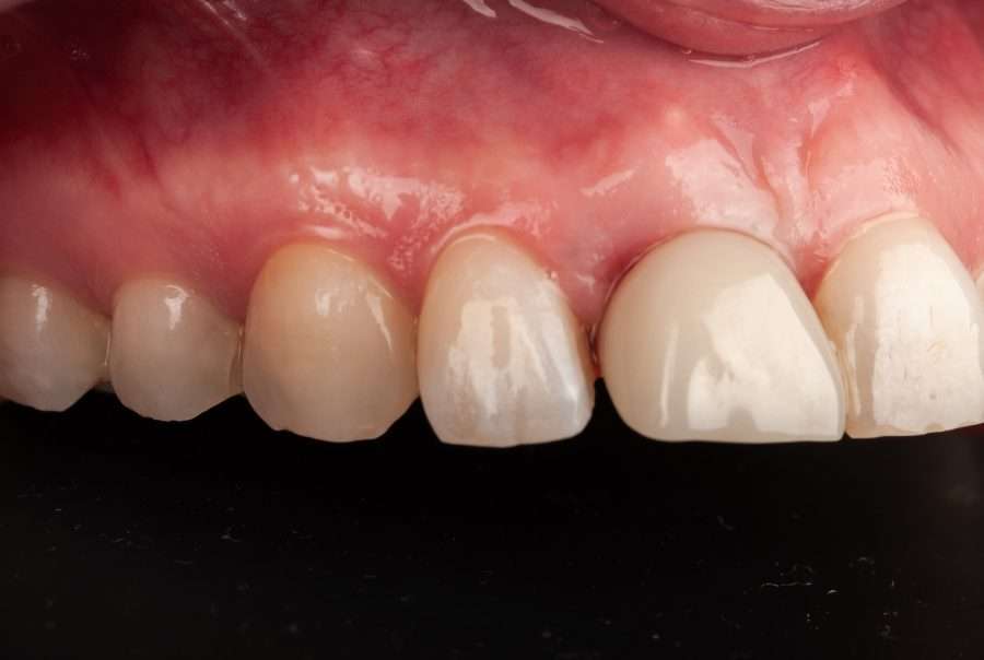
Case description
More and more frequently we encounter a front tooth that can no longer be restored or treated (it has fractures, recurrent infections, severe dyschromia, loss of bone and gingival attachment). The biggest challenge is to restore it as naturally as possible and in the general context, especially when the patient does not want any further changes to the adjacent natural teeth.
After the incisor extraction and bone reconstruction with the associated healing and provisional period, we guidedly inserted a premium implant, with immediate application of a provisional restoration.
The final restoration involved a hybrid abutment and a ceramic crown on a zirconium support.







