Str. Ștefan Luchian nr. 10A, Baia Mare
Luni, Miercuri, Vineri: 09:00 – 16:00
Marți, joi: 12:00 – 19:00
Dental veneers
SPECIALIST
- Dr. Carmen Breban-Cirțiu
LAB WORK
Gident
TREATMENT
- Minimal preps
- Ceramic veneers – feldspar ceramics
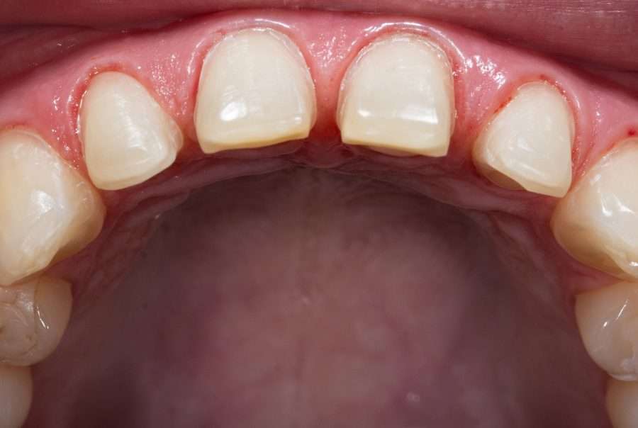
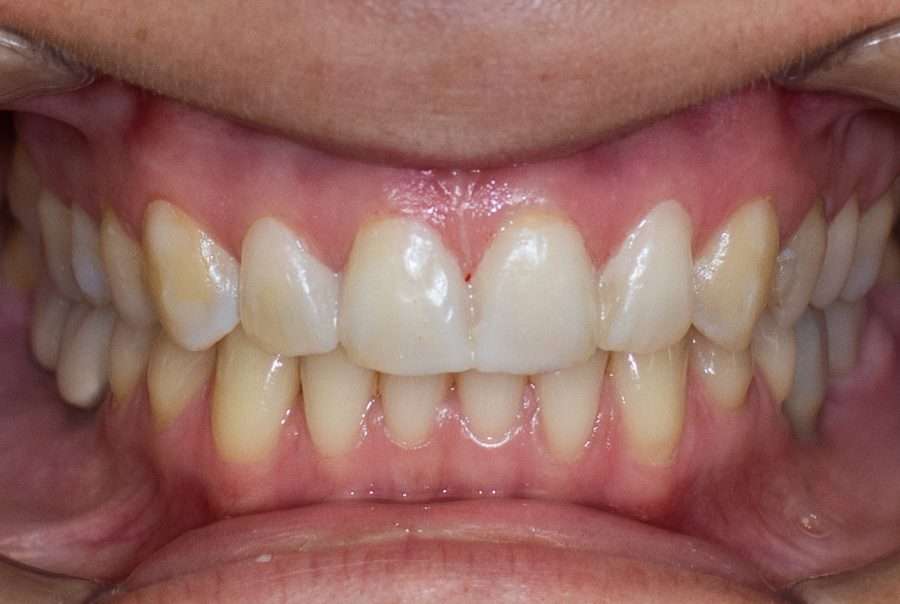
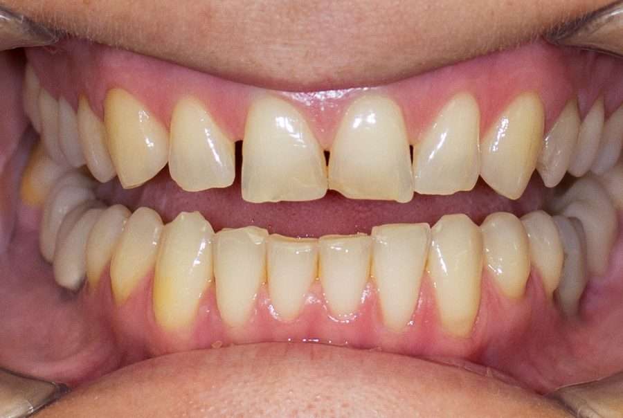
Case description
The major indication in this case was the closure of interdental spaces, correction of the shape and dental appearance of the maxillary frontal group.
We validated, together with the patient, the shape and final appearance of the works and opted for feldspathic ceramics, handmade by our technician
Preparations were limited to enamel, and the ceramic pieces had a minimum thickness of 0.4 mm.
We chose a premium ceramic, with maximum optical qualities, for a natural appearance in the end and as close as possible to the overall color of the teeth.







