Str. Ștefan Luchian nr. 10A, Baia Mare
Luni, Miercuri, Vineri: 09:00 – 16:00
Marți, joi: 12:00 – 19:00
Advanced Dental Wear Rehabilitation
SPECIALIST
- Dr. Carmen Breban-Cirțiu
LAB WORK
TREATMENT
- Functional and aesthetic wax-up
- Single-unit full ceramic restorations
- Restoration of occlusal guidance and oral functions
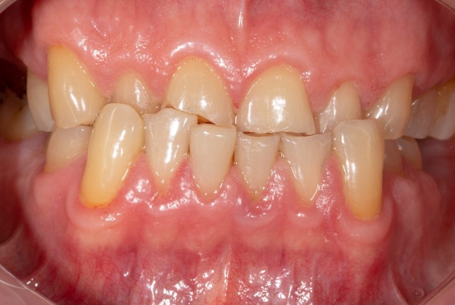
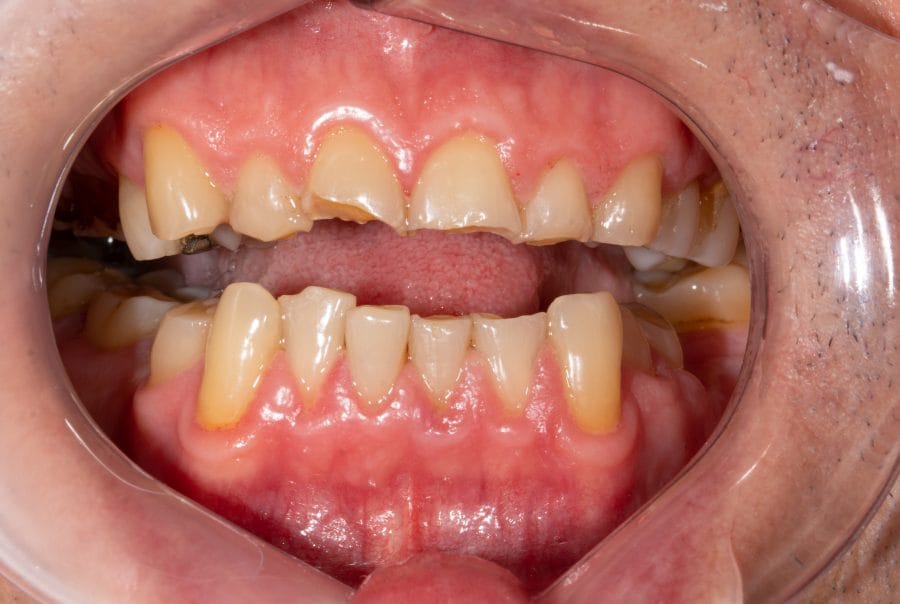
Case description
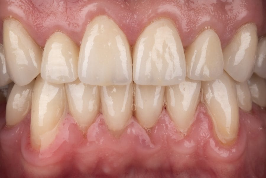
Dental wear is a frequent, multifactorial pathology with a complex treatment approach. Together with the patient, we opted for a full-mouth rehabilitation: increasing the vertical occlusal dimension, restoring lost dental volume and guidance, and re-establishing dental harmony and occlusal curves. Following wax-up creation and patient validation, we chose minimally invasive preparations and adhesively bonded single-unit full ceramic restorations.
These restorations achieved adequate dental volume and occlusal stability in both the frontal and lateral areas, while preserving the vitality of each tooth and overall gingival health.









