Str. Ștefan Luchian nr. 10A, Baia Mare
Luni, Miercuri, Vineri: 09:00 – 16:00
Marți, joi: 12:00 – 19:00
Telescopic denture
SPECIALIST
- Dr. Carmen Breban-Cirțiu
LAB WORK
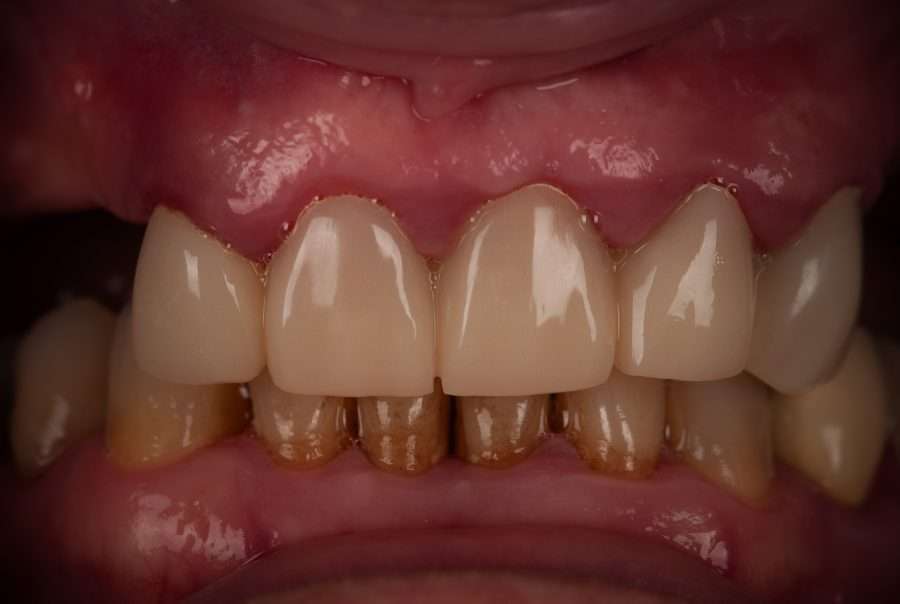
Case description
When approaching each patient, we must take into account their wishes in order to visualize the final result.
In this case, the patient had a skeletonized restoration with a fixed metal-ceramic component in the frontal area, her dissatisfaction being the discrepancy between the two components – fixed and removable.
We opted for prosthetic treatment with the creation of a maxillary telescopic prosthesis. The occlusion, shape and position of the teeth were redesigned, a facial rejuvenation effect was achieved thanks to the restoration of the labial support, all in the context of a harmonious work that would restore aesthetics and masticatory function.
The patient achieved the authentic smile she wanted, and we gained the patient’s trust and a long-term collaboration.







