Str. Ștefan Luchian nr. 10A, Baia Mare
Luni, Miercuri, Vineri: 09:00 – 16:00
Marți, joi: 12:00 – 19:00
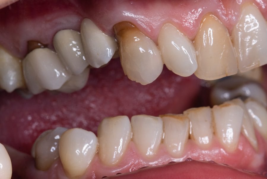
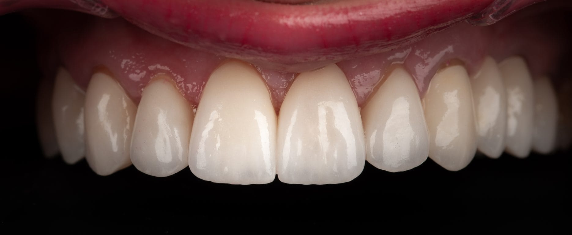
Full Mouth Rehab – case 3
COORDINATOR
- Dr. Carmen Breban-Cirțiu
SPECIALIST
- Dr. Anca Varlan – orthodontics
- Dr. Carmen Breban-Cirțiu – surgery, prosthodontics
LAB WORK
Gident Dental Lab and Training Center
TREATMENT
- Orthodontics
- Dental implants
- Ceramic Veneers
- Ceramic crowns
Case description
The approach to this complex case focused on restoring correct dental positions, rebuilding the occlusion and the aesthetic appearance of the smile. Following orthodontic treatment, the volume and shape of the future teeth were digitally planned, edentulous spaces were restored with implants, and all teeth were rehabilitated with full ceramic veneers and ceramic crowns on zirconia.
The entire workflow allowed previewing and integrating the surgical and prosthetic stages to achieve the proposed results.












