Str. Ștefan Luchian nr. 10A, Baia Mare
Luni, Miercuri, Vineri: 09:00 – 16:00
Marți, joi: 12:00 – 19:00
Incisiv central pierdut 2
COORDONATOR
- Dr. Carmen Breban-Cirțiu
SPECIALIST
- Dr. Anca Varlan – ortodonție
- Dr. Darius Tomina – parodontologie
- Dr. Cristian Dinu – Chirurgie
- Dr. Carmen Breban-Cirțiu – protetică
LAB WORK
TRATAMENT
- Ortododonție
- Implant dentar – zonă frontală
- Grefă gingivală liberă
- Echilibrare ocluzală
- Fațete feldspatice
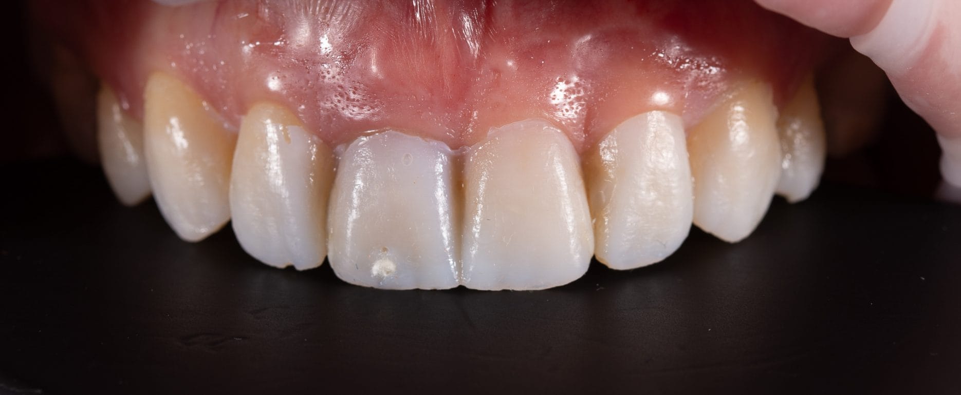
Descriere caz
Cazurile complexe au nevoie de mai multe discipline pentru a atinge un rezultat optim, iar cheia e communicarea între aceste discipline. Tot procesul restaurator a început de la fractura incisivului central 11 care a determinat un întreg proces de reabilitare orală: etape de provizorat, planificarea tratamentului ortodontic și înlocuirea dintelui pierdut cu un implant dentar, tratament protetic și echilibrare ocluzală la final.
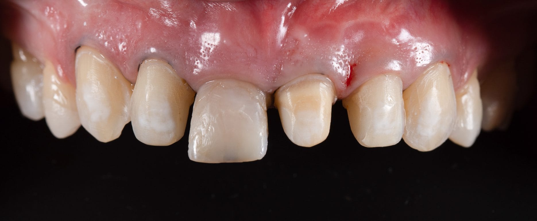
Inserarea implantului dentar si protezarea provizorie a acestuia, cat si managementul tesuturilor moi aferente s-a facut in acord cu tratamentul ortodontic, pentru a putea obtine rezultate estetice la final.
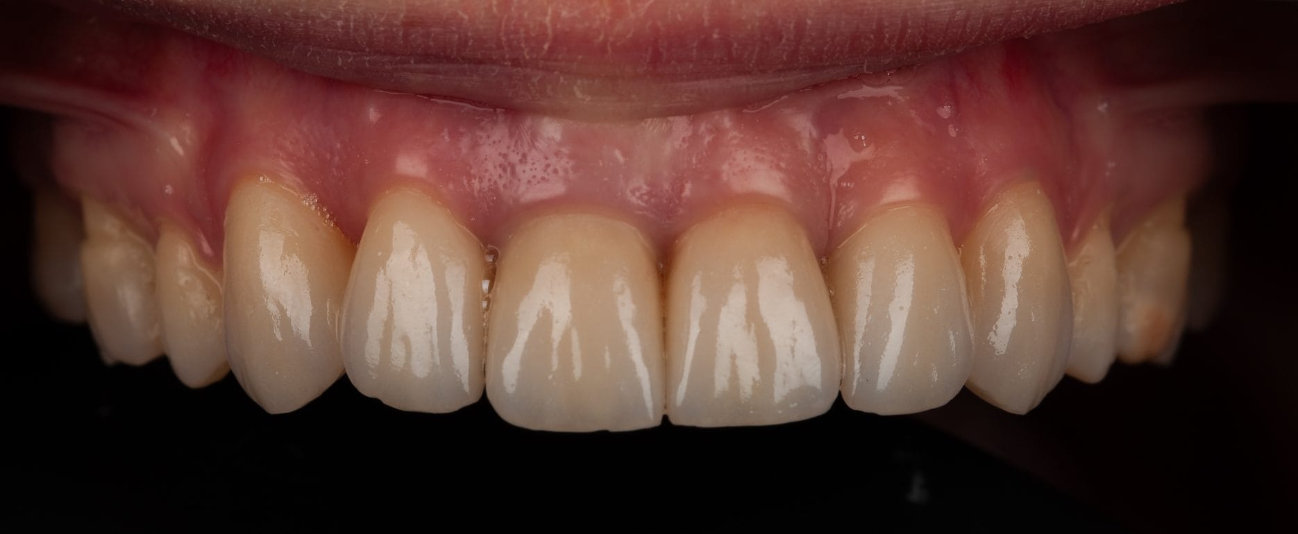
Partea protetica a fost abordata minim invaziv, utilizand ceramica feldspatica, dupa un design prestabilit, realizat de laborator si validat de pacienta. Postoperator, la aproximativ o luna, avem stabilitate pe tesuturile moi, lipsa de semne inflamatorii si un zambet transformat, natural si armonios.












